電話でのご予約・お問い合わせはTEL.0889-26-0432
〒781-1301 高知県高岡郡越知町越知甲1662
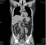
平成18年4月16日より、従来のシングル・ヘリカルCTからマルチスライス・ヘリカルCTに機種変更をしました。MDCTでは、 X線管球が身体の回りを1回転している間に極めて沢山の画像データを収集することができます。身体の中の詳細な構造を観察するためには、スライス(断面)の厚さを薄くする 必要がありますが、そうすると逆に止めなどの検査時間が膨大なものとなってしまい、従来は不可能な方法となっていました。しかしMDCTになったことにより、なんと10秒程度の 息止め1回で例えば肺などの全域を撮影できるようになりました。

検査を受ける患者様に対するメリットとしては、
(1) 今まで以上に詳細な画像を提供できる
(2) 今まで以上に検査時間が短縮される
ということになります。
その結果、単に画像が速く綺麗に撮れるということにとどまらず、従来はできなかった縦方向の画像(実際に撮影しているのではなく、 検査後にコンピュータで計算させて上下方向の画像を作成するもの:MPR(画像という)や、立体的な3次元画像なども従来よりもはるかに有用なものとして活用できるように なっております。また高知県内では限られた病院施設にした導入されていない最新悦の高機能CTです。当院ではこのCTを使用することにより、患者様に対してより正確でより 迅速な検査を提供することを目指しています。
〒781-1301
高知県高岡郡越知町越知甲1662
TEL 0889-26-0432
FAX 0889-26-3600