本文へスキップ

高知県越知町の救急病院。

電話でのご予約・お問い合わせはTEL.0889-26-0432

〒781-1301 高知県高岡郡越知町越知甲1662

臨床検査部laboratory

臨床検査部って何ができますか?

検査には大きく分けて検体検査と生理検査があります。いずれの検査においても現在のデジタル技術の進歩により検査結果は電子化されております。電子化することにより、個人情報の保護、検査結果の長期保存、検査の迅速化などあらゆる面で患者様に分かりやすく、そして迅速に検査結果を提供できるような 体制作りを行っています。検査で不安な事や分からない事がありましたら、遠慮なく検査室のスタッフに相談してください。


検体検査とは?

血液の検査、尿の検査、細菌の培養検査、病理検査などがあります。

【血液検査】
血液中の白血球や赤血球数、肝機能を反映する酸素や、コレステロールなどの脂質、肝機能を反映するタンパク質など、いろいろな血液中の成分を分析します。感染症の検査や、 血液で癌の検査なども可能です。一部の検査では外部委託しているのもありますが、当院で実施可能なものであれば所要時間は約40分です。

【尿検査】
尿中のタンパクや糖、潜血反応などを調べます。また顕微鏡で尿中にどのような物が出ているかを調べます。所要時間は約10分です。

【細菌培養検査、病理検査】
細菌検査は痰や尿などを培養し炎症の原因となる菌を特定する検査です。病理検査は胃や大腸、前立腺や膀胱などの組織を内視鏡などを用いて直接採取し、良性であるか 悪性であるかを調べるものです。結果報告までの所要日数は5~10日程度です。


生理検査とは?

心電図検査、エコー検査、肺機能検査、骨密度検査などがあります。

【心電図】
主に不整脈や狭心症、心筋梗塞などの心臓病の最も一般的な検査です。検査時間も2~3分と短く、簡単に検査することができます。また動悸等がある患者様には24時間記録する 心電図もあります。

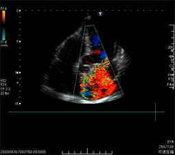
【エコー検査(超音波検査)】
肝臓、腎臓、膵臓、胆嚢などの腹部領域から、前立腺、膀胱などの泌尿器領域、そして心臓、頚動脈、下肢静脈などの循環器領域、さらには甲状腺や乳腺などの皮下組織まで 幅広く検査可能です。検査時間は部位にもよりますが10〜30分程度です。

頸動脈内部の血流測定    心臓の弁膜症の血流評価

【肺機能検査】
息を吸ったり吐いたりして肺活量を測定します。
検査時間は約5分と短く、簡単に検査できます。

【骨密度検査】
右足のかかとの部分で骨密度を測定します。
検査時間は約5分と短く、簡単に検査できます。



       

KITAJIMA HOSPITAL医療法人 社団若鮎 北島病院

〒781-1301
高知県高岡郡越知町越知甲1662
TEL 0889-26-0432
FAX 0889-26-3600